Banco de questões para professores em word
Você, professor, já se pegou procurando incessantemente por questões de qualidade para elaborar suas provas e atividades? O Projeto Medicina...
Dicas, estratégias e conteúdos para ajudar na sua jornada rumo à medicina
Você, professor, já se pegou procurando incessantemente por questões de qualidade para elaborar suas provas e atividades? O Projeto Medicina...
Acesse o guia completo da aprovação no curso de Medicina.
Cientistas americanos reativaram parcialmente cérebros de porcos quatro horas depois de os animais terem sido abatidos. Leia.
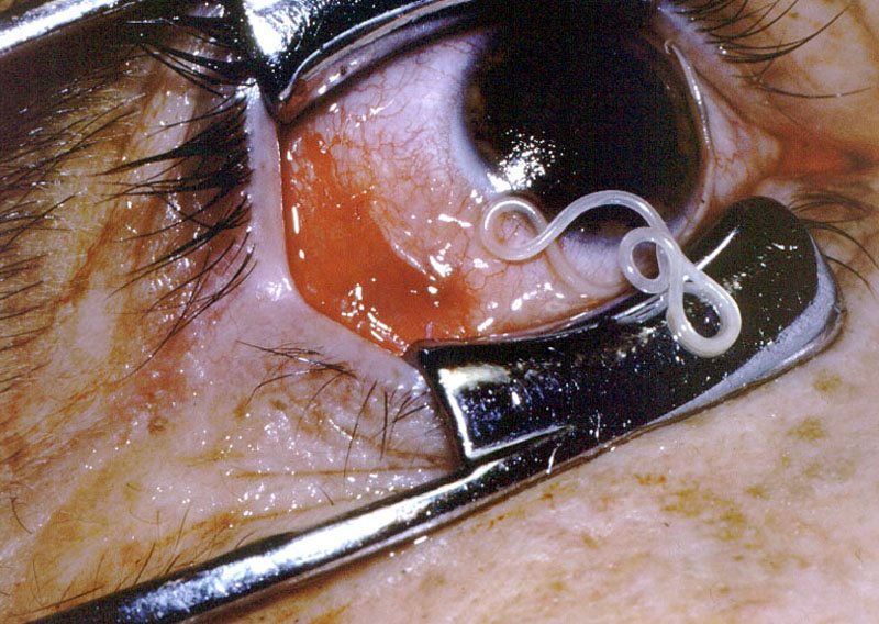
O doutor Philipp Köhler, especialista em medicina de emergência, disse que nunca tinha visto um caso como este. Köhler trabalha...
Se o sucesso é a melhor vingança, Elizabeth Blackwell, a primeira médica formalmente reconhecida, que quase foi ridicularizada na faculdade...
Enã Rezende com apenas 26 aninhos acabou de se formar em medicina na Universidade de Cuiabá (Unic), no Mato Grosso....
Dúvidas e preconceitos surgem quando o assunto é vitiligo. Ainda que haja movimentos de esclarecimento e aceitação das manchas brancas,...
A prática de exercícios físicos vai além de manter a boa forma e aparência. Veja algumas dicas de exercícios para...
Desde de ir ao banheiro doze vezes por dia a não sentir cortes na pele, saiba quais são as quatro...
Imagina você, vestibulando, chega cansado do cursinho, dos estudos e quer apenas um banho e depois cama. Entretanto, quando você...
Há 4 anos ele levou 5 tiros, após tentar apartar uma briga entre amigos. Leandro Silva de Souza tem 21 anos...
13 exemplos surpreendentes de pessoas que superaram limites A vida pode ser cheia de surpresas. Muitas vezes estamos em nossas...